Tratamiento

Implantes Dentales

Recuperá tu sonrisa con seguridad y precisión. Utilizamos cirugía guiada digital para resultados predecibles, estéticos y mínimamente invasivos.

Implante dental - clínica

¿Por qué elegir implantes dentales?

Solución avanzada para reemplazar dientes perdidos. Una pieza de titanio se integra al hueso y sirve de base para coronas o prótesis fijas, logrando estabilidad, función y estética natural.

Restauración funcional y estética

Masticación cómoda y apariencia natural.

Conservación de hueso

Previene la reabsorción ósea y cuida dientes vecinos.

Alta durabilidad

Materiales biocompatibles de larga vida útil.

Opciones de carga inmediata

En casos seleccionados, dientes fijos el mismo día.

¿Cómo es el procedimiento?

Planificamos cada caso con cirugía guiada digital para una colocación precisa y segura, reduciendo molestias y acelerando la recuperación.

  1. Evaluación y planificación: estudio clínico, tomografía y diseño digital.
  2. Colocación del implante: procedimiento mínimamente invasivo con guía quirúrgica.
  3. Integración ósea: período de cicatrización para estabilidad a largo plazo.
  4. Rehabilitación: instalación de corona, puente o prótesis fija.
Planificación digital de implantes
Duración del proceso
3–6 meses
Sesiones
2–3 visitas
Recuperación
1–2 semanas
Durabilidad
De por vida

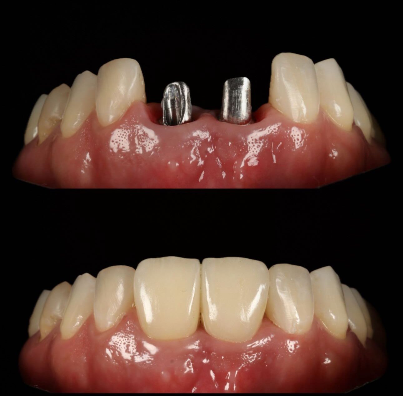
Galería de casos

Algunos resultados obtenidos en nuestra clínica.

Caso implantes 1 Caso implantes 2 Caso implantes 3 Caso implantes 4 Caso implantes 5 Caso implantes 6 Prótesis sobre implantes - Caso 7 Prótesis sobre implantes - Caso 8 Prótesis sobre implantes - Caso 9

Preguntas Frecuentes

¿Los implantes dentales son dolorosos?

El procedimiento se realiza con anestesia local, por lo que no sentirás dolor durante la intervención. Puede haber algunas molestias postoperatorias que se controlan con medicación.

¿Cuánto tiempo duran los implantes?

Con el cuidado adecuado, los implantes dentales son de larga duración. Es fundamental mantener una buena higiene oral y visitas regulares al dentista.

¿Quién puede recibir implantes dentales?

La mayoría de las personas son candidatas para implantes. Se requiere una evaluación completa para determinar si tienes suficiente hueso y buena salud general.

¿Cuánto tiempo toma el proceso completo?

El proceso completo puede tomar de 3 a 6 meses, dependiendo de tu caso específico. Esto incluye la integración del implante con el hueso.

¿Los implantes se ven naturales?

Sí, los implantes se ven completamente naturales. Las coronas se diseñan para que coincidan perfectamente con el color, forma y tamaño de tus dientes naturales.

¿Qué cuidados requieren los implantes?

Los implantes requieren los mismos cuidados que los dientes naturales: cepillado regular, uso de hilo dental y visitas periódicas al dentista para limpiezas profesionales.

¿Listo para recuperar tu sonrisa?

Agenda una consulta para evaluar tu caso y obtener un plan a medida.