Tratamiento

Prótesis Dental

Soluciones personalizadas para restaurar piezas dentales ausentes. Prótesis fijas, removibles y sobre implantes con tecnología digital CAD/CAM.

Prótesis dental - clínica

Tipos de Prótesis que ofrecemos

Diseño personalizado con tecnología digital para resultados naturales, cómodos y funcionales.

Prótesis Fijas

Cementadas o atornilladas permanentemente. Máxima estabilidad y estética.

Prótesis Removibles

Se retiran para higiene. Opción cómoda y económica.

Prótesis sobre Implantes

Estabilidad de implantes con fácil mantenimiento.

Coronas y Puentes

Restauración de piezas individuales o múltiples.

Prótesis Híbridas

Rehabilitación fija colocada sobre implantes.

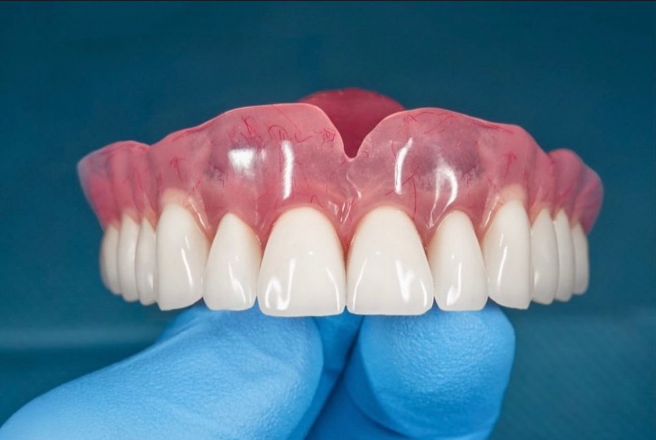
Tecnología Digital CAD/CAM

Diseño y fabricación de alta precisión y ajuste.

Nuestro proceso paso a paso

  1. Evaluación y planificación: selección del tipo de prótesis más adecuado.
  2. Toma de impresiones: registros precisos para fabricar la prótesis.
  3. Prueba y ajuste: colocación provisional y ajustes finos.
  4. Instalación final: entrega de la prótesis definitiva y cuidados.
Duración
2–6 semanas
Sesiones
3–4 visitas
Recuperación
Inmediata
Durabilidad
10–20 años
Prótesis dental CAD/CAM

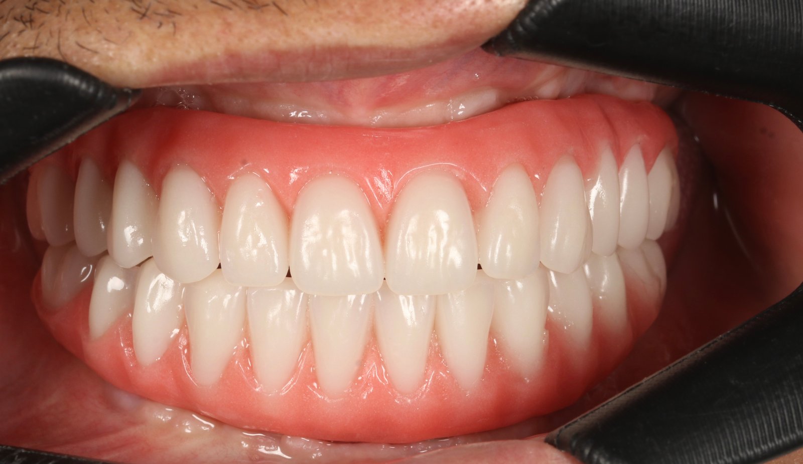
Galería de casos

Resultados reales de rehabilitaciones con prótesis.

Caso prótesis 1 Caso prótesis 2 Caso prótesis 3 Caso prótesis 4 Caso prótesis 5 Caso prótesis 6

Preguntas Frecuentes

¿Cuánto tiempo dura el proceso de fabricación?

Los tiempos varían según el tipo de prótesis: las coronas individuales tardan 1-2 semanas, las prótesis removibles 2-3 semanas, y las prótesis sobre implantes pueden llevar 3-6 meses incluyendo el tiempo de integración del implante.

¿Las prótesis se ven naturales?

Sí, utilizamos materiales estéticos de última generación y tecnología digital para diseñar y fabricar prótesis que se ven completamente naturales. Cada prótesis se personaliza para que coincida perfectamente con tu sonrisa.

¿Qué cuidados requieren?

Las prótesis fijas requieren higiene diaria similar a los dientes naturales y controles periódicos. Las removibles necesitan una limpieza específica después de cada comida y revisiones regulares para ajustes. Te daremos instrucciones detalladas.

¿Qué tipos de prótesis existen?

Ofrecemos varios tipos: prótesis fijas (coronas y puentes), removibles (parciales o completas), y prótesis sobre implantes. La elección dependerá de tu caso específico, preferencias y necesidades funcionales.

¿Son cómodas de usar?

Las prótesis modernas están diseñadas para ofrecer máximo confort. Existe un período inicial de adaptación, pero la mayoría de los pacientes se acostumbran rápidamente y pueden realizar todas sus actividades con normalidad.

¿Cuánto duran las prótesis?

Con un cuidado adecuado y mantenimiento regular, las prótesis pueden durar muchos años. Las prótesis fijas sobre implantes tienen una durabilidad especialmente alta, pudiendo durar décadas con el cuidado apropiado.

¿Listo para recuperar tu sonrisa?

Agenda una consulta para evaluar tu caso y elegir la prótesis ideal.