Tratamiento

Rehabilitación Adhesiva

Técnicas conservadoras avanzadas para restaurar dientes dañados preservando el tejido sano. Alta estética para casos complejos.

Rehabilitación adhesiva

Mínima intervención, máxima estética

Enfoque moderno y conservador que utiliza adhesivos y materiales estéticos (resinas y cerámicas) para restaurar dientes con alta precisión.

Tratamientos mínimamente invasivos

Preservan el tejido sano.

Alta estética

Integración natural con el diente.

Excelente adhesión

Durabilidad y resistencia.

Casos complejos

Bruxismo, erosión, retratamientos.

Materiales de última generación

Composite nano-híbrido

Alta resistencia al desgaste y excelente pulido.

Adhesivos universales

Unión química fuerte y estable.

Cerámicas híbridas

Resistencia y flexibilidad equilibradas.

Cementos estéticos

Fijación segura y duradera.

Nuestro protocolo clínico

  1. Análisis digital integral: fotografías, escaneo y modelos digitales; evaluación oclusal.
  2. Preparación conservadora: mínima intervención para preservar esmalte y dentina.
  3. Estratificación por capas: combinación de materiales para biomimética de dentina y esmalte.
  4. Instalación de restauraciones: aislamiento absoluto, cementación por etapas y control fino.
  5. Ajuste oclusal preciso: distribución adecuada de fuerzas.
  6. Acabado y pulido: superficie ultra-lisa y brillo natural.

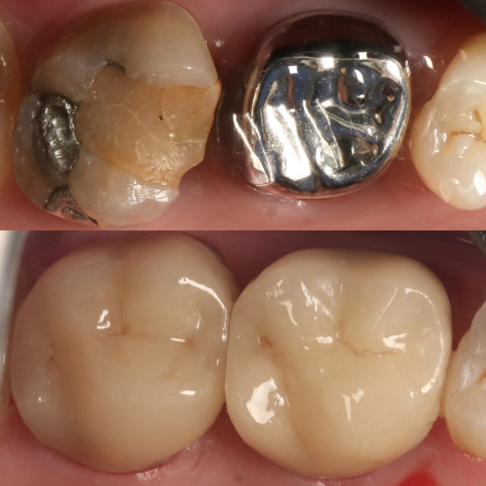
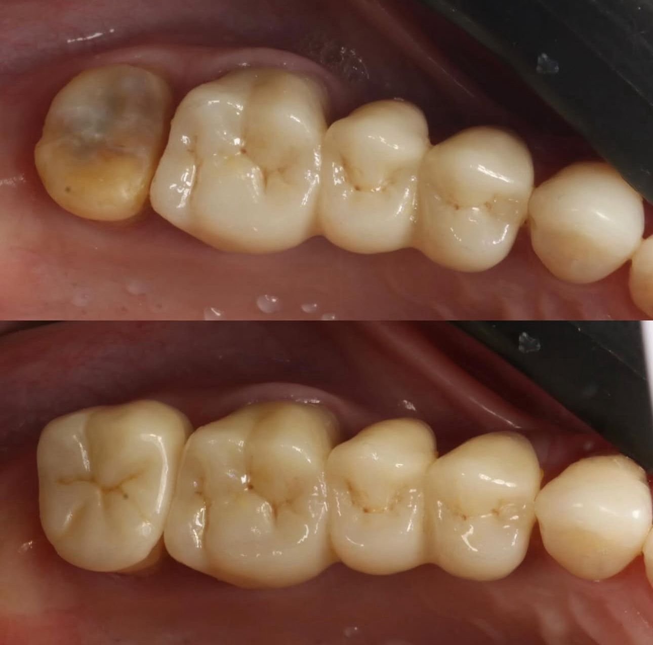
Casos clínicos

Resultados obtenidos con protocolos adhesivos avanzados.

Caso adhesivo 1 Caso adhesivo 2 Caso adhesivo 3
Caso adhesivo 4 Caso adhesivo 5 Caso adhesivo 6
Caso adhesivo 7 Caso adhesivo 8 Caso adhesivo 9

Preguntas Frecuentes

¿Es un tratamiento invasivo?

No, la rehabilitación adhesiva es un tratamiento mínimamente invasivo que conserva al máximo la estructura dental natural. Utilizamos técnicas modernas que requieren muy poca o ninguna preparación del diente.

¿Cuánto dura el tratamiento?

La duración varía según la complejidad del caso. Algunos tratamientos pueden completarse en una sola sesión, mientras que casos más extensos pueden requerir varias semanas. Desarrollamos un plan detallado en la primera consulta.

¿Los resultados son duraderos?

Sí, con un cuidado adecuado y mantenimiento regular, los resultados pueden durar muchos años. Los materiales adhesivos modernos ofrecen excelente durabilidad y resistencia cuando se aplican correctamente.

¿Es doloroso el procedimiento?

El procedimiento es generalmente indoloro. Al ser mínimamente invasivo, muchas veces ni siquiera requiere anestesia. En casos donde sea necesaria, utilizamos técnicas modernas de anestesia local para garantizar tu comodidad.

¿Qué problemas puede solucionar?

La rehabilitación adhesiva puede corregir múltiples problemas: dientes desgastados, fracturados o manchados, espacios entre dientes, problemas de mordida, y restaurar la función y estética de tu sonrisa.

¿Requiere cuidados especiales?

Los cuidados son similares a los de los dientes naturales: buena higiene oral, visitas regulares al dentista y evitar hábitos que puedan dañar las restauraciones. Te proporcionaremos instrucciones específicas para tu caso.

¿Necesitás rehabilitación adhesiva?

Agenda una consulta especializada para evaluar tu caso y definir el plan más conservador y efectivo.